Perte de poids chronique chez un chat
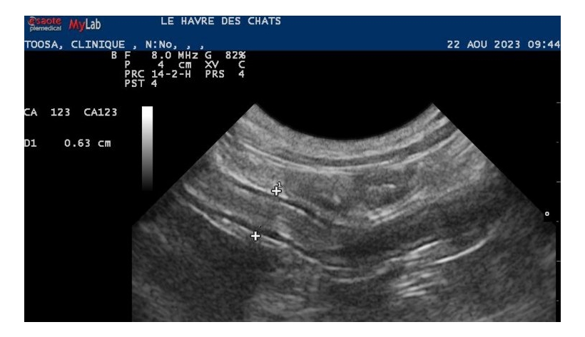
Lundi 10 Mars 2025 Animaux de compagnieFigure 5 : Epaississement de la paroi des anses intestinales en août 2023
En plus d'être un motif de consultation fréquent lors de maladies chroniques, l'amaigrissement est un sujet d'inquiétude pour le propriétaire et un facteur prédictif négatif de survie pour le chat. Il convient donc le traiter en soi.
« Toute reproduction, diffusion, traduction ou exploitation totale ou partielle de nos contenus de quelque nature que ce soit, accessibles gratuitement ou non, sans l’autorisation écrite et préalable de La Dépêche Vétérinaire, est strictement interdite (articles L. 335-2 du Code de la propriété intellectuelle) »





