Masse médiastinale chez un chat de 11 ans : quel est votre diagnostic ?
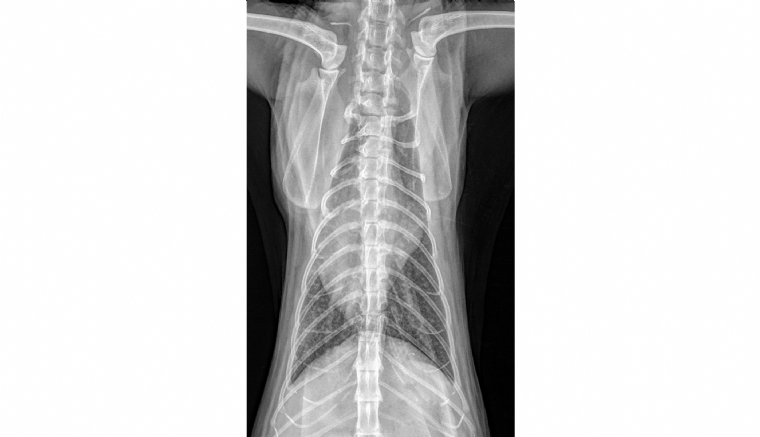
Mercredi 26 Août 2020 Animaux de compagnieVues ventrodorsale et latérale droite du thorax.
© D.R.
Un chat européen de 11 ans est présenté pour l'exploration d'une dermatite squameuse généralisée associée à une dégradation progressive de l'état général et une fatigabilité.
« Toute reproduction, diffusion, traduction ou exploitation totale ou partielle de nos contenus de quelque nature que ce soit, accessibles gratuitement ou non, sans l’autorisation écrite et préalable de La Dépêche Vétérinaire, est strictement interdite (articles L. 335-2 du Code de la propriété intellectuelle) »





