Lymphome T sous-cutané de type panniculite : évaluation morphologique, immunophénotypique et clonale chez 6 chats
Mercredi 15 Novembre 2023 Animaux de compagnie© D.R.
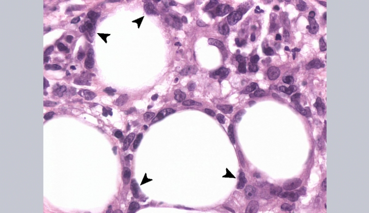
Les lymphomes cutanés primaires représentent 0,2 à 3 % des lymphomes félins. Les lymphomes non épithéliotropes sont les plus fréquents. Chez l'Homme et le chien, le lymphome T de type panniculite sous-cutanée (SPTCL) est un lymphome primaire non épithélio...
« Toute reproduction, diffusion, traduction ou exploitation totale ou partielle de nos contenus de quelque nature que ce soit, accessibles gratuitement ou non, sans l’autorisation écrite et préalable de La Dépêche Vétérinaire, est strictement interdite (articles L. 335-2 du Code de la propriété intellectuelle) »





